Miért a NaturaDent?
Úttörők vagyunk a lézeres fogászatban
A legmodernebb lézeres eljárásokat alkalmazzuk, amelyek sok esetben fájdalommentesebb és gyorsabb kezelést tesznek lehetővé. Innovatív szemléletünknek köszönhetően pácienseink a legkorszerűbb megoldásokat kapják.
Komplex problémák megoldása
Legyen szó több területet érintő fogászati esetről, nálunk minden szükséges kezelés elérhető. Szakértő csapatunk összehangoltan dolgozik, hogy tartós és átgondolt megoldást nyújtsunk.
Mindenre van csúcstechnológiánk
Digitális diagnosztika és modern eszközök segítik a pontos tervezést és kivitelezést. Ennek köszönhetően kezeléseink kiszámíthatóbbak, kényelmesebbek és kevesebb időt vesznek igénybe.
Miért a NaturaDent?
Úttörők vagyunk a lézeres fogászatban
A legmodernebb lézeres eljárásokat alkalmazzuk, amelyek sok esetben fájdalommentesebb és gyorsabb kezelést tesznek lehetővé. Innovatív szemléletünknek köszönhetően pácienseink a legkorszerűbb megoldásokat kapják.
Komplex problémák megoldása
Legyen szó több területet érintő fogászati esetről, nálunk minden szükséges kezelés elérhető. Szakértő csapatunk összehangoltan dolgozik, hogy tartós és átgondolt megoldást nyújtsunk.
Mindenre van csúcstechnológiánk
Digitális diagnosztika és modern eszközök segítik a pontos tervezést és kivitelezést. Ennek köszönhetően kezeléseink kiszámíthatóbbak, kényelmesebbek és kevesebb időt vesznek igénybe.

Dr. Fülöp-Papp Márta M.Sc.
Dr. Fülöp-Papp Márta vagyok, a Naturadent intézményvezető fogorvosa, implantológusa.
A Semmelweis Egyetem Fogorvostudományi karán szereztem fogorvosi diplomámat.
Jelenleg kutatásokat folytatok PhD tanulmányaimhoz a csontregeneráció és
csontpótlás, illetve az implantáció területein. Több jelentős magyar és külföldi fogászati
szaklapban is publikálok. (A teljesség igénye nélkül: Implantológia, Implantológia
a Fogászatban, Magyar Fogorvos, Journal Of CranioFacial Surgery). Hazánkban elsőként
végeztem el az aacheni egyetem MSC. Lasers in Dentistry mesterképzését.
Dr. Fülöp-Papp Márta vagyok,
a Naturadent intézményvezető
fogorvosa, implantológusa.
A Semmelweis Egyetem
Fogorvostudományi karán szereztem
fogorvosi diplomámat.
Jelenleg kutatásokat folytatok PhD
tanulmányaimhoz a csontregeneráció és
csontpótlás, illetve az implantáció
területein. Több jelentős magyar és
külföldi fogászati szaklapban is
publikálok. (A teljesség igénye nélkül:
Implantológia, Implantológia
a Fogászatban, Magyar Fogorvos,
Journal Of CranioFacial Surgery).
Hazánkban elsőként végeztem el az
aacheni egyetem MSC. Lasers in
Dentistry mesterképzését.
Első találkozás
- Állapotfelmérés
- Fogászati panoráma- röngtenfelvétel
- Fogkő eltávolítás
- Állapotfelmérés
- Fogászati panoráma- röngtenfelvétel
- Fogkő eltávolítás
- Lézeres tasakfertőtlenítés
Első találkozás
- Állapotfelmérés
- Fogászati panoráma- röngtenfelvétel
- Fogkő eltávolítás
- Állapotfelmérés
- Fogászati panoráma- röngtenfelvétel
- Fogkő eltávolítás
- Lézeres tasakfertőtlenítés
Szolgáltatásaink
Hiszünk abban, hogy a mosoly túl fontos ahhoz, hogy kompromisszumot kössünk.
Ezért pácienseink kezelése során szakterületi specialisták dolgoznak együtt – Önnek
ez biztonságot, kiszámíthatóságot és valóban személyre szabott megoldást jelent.
Lézeres fogfehérítés
Mélyfehérítés lézerrel: szép,
hőfehér fogak érzékenység és
fájdalom nélkül, Önre szabva.
Ultrahangos fogkő eltávolítás
A fogkő elátvolítás az egyik leg-alapvetőbb dentálhigiéniai
kezelés.
Invisalign fog- szabályozó, a láthatatlan segítő
Lézeres szájsebészet, fogeltávolítás
Lézeres ínyformázás, plasztika-és korrekció
Lézeres nyelvfék, ajakfék eltávolítás
Minőségi kezelés, empátia, állandó figyelem
A Trustindex hitelesíti, hogy a vélemény eredeti forrása Google.Közzétéve itt: Googlerpeti1974Dentálhigéniai kezelésre érkeztem. A megbeszélt időpontban, pontosan fogadtak. A kezelés elejétől a végéig folyamatosan tájékoztatva voltam, mikor milyen folyamat következik. Szakmailag, emberileg csillagos ötös. Bátran ajánlom a rendelőt.A Trustindex hitelesíti, hogy a vélemény eredeti forrása Google.Közzétéve itt: GoogleJános GábrielNem volt még ilyen fogászati élményem, pedig már láttam ezt-azt. A doktornőnek a puszta jelenléte is gyógyító, és ehhez még hozzájön a szakértelme, a rendelő kiváló felszereltsége, a legmodernebb eszközök jelenléte.A Trustindex hitelesíti, hogy a vélemény eredeti forrása Google.Közzétéve itt: GoogleGyörgy TálasMinden a ketelési tervnek megfelelő módon alakult. Maximálisan meg vagyok elégedve,más érdeklődőnek is fogom ajánlani a klinikát.A Trustindex hitelesíti, hogy a vélemény eredeti forrása Google.Közzétéve itt: GoogleKatalinDr. Erős Roland a legjobb fogorvos, kedves és figyelmes. Maximálisan jól végzi a munkáját.A Trustindex hitelesíti, hogy a vélemény eredeti forrása Google.Közzétéve itt: Googlemilán nagyNagyon profi, kedves emberek dolgoznak. Katona Eszter doktornő teljes odaadással és profizmussal végzi a munkáját, folyamatosan tájékoztatva mikor mi miért történik. Csak ajanlani tudom jó szívvel mindenkinek.A Trustindex hitelesíti, hogy a vélemény eredeti forrása Google.Közzétéve itt: GooglePéter BertókMindenre kiterjedt figyemesség és emberközpontúság jellemzi tevékenységüket. Személyre szabott kezelés biztosított! Nagyon kedves, szimpatikus fiatal doktornő fogadott dr. Jasku Fruzsina. Minden lehetőséget megbeszélt velem, a megoldás lényege az volt, ha lehet, a fogam megmentése. (Egyébként elfogult vagyok a Fruzsinákkal kapcsolatban, mivel a fiatalabb leányunk is Fruzsina! 😅)De ebben az esetben minden elismerésem szakmailag és emberileg is a doktornőt illeti! Őszinte szívvel kívánok sok siker szára, remélhetőleg hosszú életpályája során! Szerető barátsággal: "Peti papa"A Trustindex hitelesíti, hogy a vélemény eredeti forrása Google.Közzétéve itt: GoogleEgyedi CsongorNagyon örülök, hogy rátaláltam erre a helyre! Az orvosok tökéletes munkát végeznek, és emberileg is fantasztikusak. Udvariasak, kedvesek, megnyugtató a személyiségük, odafigyelnek rám. A környezet is nyugalmat áraszt, nincs ,, orvosirendelő-hangulatom''. Nagyon hálás vagyok az orvosoknak, akik kezeltek eddig, illetve a doktornőnek, akihez jelenleg is járok. A szakmai minőségen túl rendkívül jó ember!A Trustindex hitelesíti, hogy a vélemény eredeti forrása Google.Közzétéve itt: Googlezsuzsa minyI have been a returning and satisfied patient of Dr. Zakeri Elahe from overseas for years. Today I can give the same good opinion about Dr. Milán Polónyi. I can recommend them to everyone.
L. László
22 January 2026
Tibor Fenyi
02 Március 2026
Kiemelkedően professzionális működés, minden rész területet specialistákkal látnak el. A páciensnek az egyes lépések előtt elmagyarázzák, hogy mit és miért tesznek. Folyamatosan érezni, hogy maximálisan figyelnek a betegekre és az elérhető legjobb megoldást biztosítják. Itt mindenki azt érezheti, hogy VIP ellátást kap.
L. László
22 January 2026
L. László
22 January 2026

Miért jó a lézeres fogászati kezelés?
- Azonnal csökken a fájdalom és a gyulladás a lézerrel kezelt szövetekben
- A gyógyulási folyamat gyorsabb, mint hagyományos eljárások esetén
- Az eredmény már a legelső kezelés után látványos
- Serkenti az immunrendszer működését szövetstimuláló hatása miatt
- A legtöbb esetben még érzéstelenítő injekcióra sincs szükség
- A legtöbb esetben fájdalommentes
- Csökkenti a vérzést, még a gazdag vérellátású helyeken is
- Várandós kismamák esetében is kockázatmentes, nem ró felesleges terhelést sem az anya, sem a baba szervezetére
Úttörők vagyunk a lézeres fogászatban
A legmodernebb lézeres eljárásokat alkalmazzuk, amelyek sok esetben fájdalommentesebb és gyorsabb kezelést tesznek lehetővé. Innovatív szemléletünknek köszönhetően pácienseink a legkorszerűbb megoldásokat kapják.
Úttörők vagyunk a lézeres fogászatban
A legmodernebb lézeres eljárásokat alkalmazzuk, amelyek sok esetben fájdalommentesebb és gyorsabb kezelést tesznek lehetővé. Innovatív szemléletünknek köszönhetően pácienseink a legkorszerűbb megoldásokat kapják.
NaturaDent garancia
A Naturadentnél a minőség nem ígéret, hanem írásos garancia: kiemelkedő anyagokkal, csúcstechnológiával és magasan képzett szakorvosokkal dolgozunk, hogy mosolya hosszú távon is biztos kezekben legyen. Fogászati garanciánk azt jelenti, hogy nemcsak elkészítjük, hanem felelősséget is vállalunk a végeredményért.
A mosolya túl értékes ahhoz, hogy kockáztasson – ezért a NaturaDentnél nemcsak kezelünk, hanem írásos garanciát vállalunk minden minőségi munkánkra. Olyan megoldásokat adunk, amelyek mögött ott állunk ma, holnap és évekkel később is.


4.7
Panaszkereső
Hiszünk abban, hogy a mosoly túl fontos ahhoz, hogy kompromisszumot kössünk.
Ezért pácienseink kezelése során szakterületi specialisták dolgoznak.
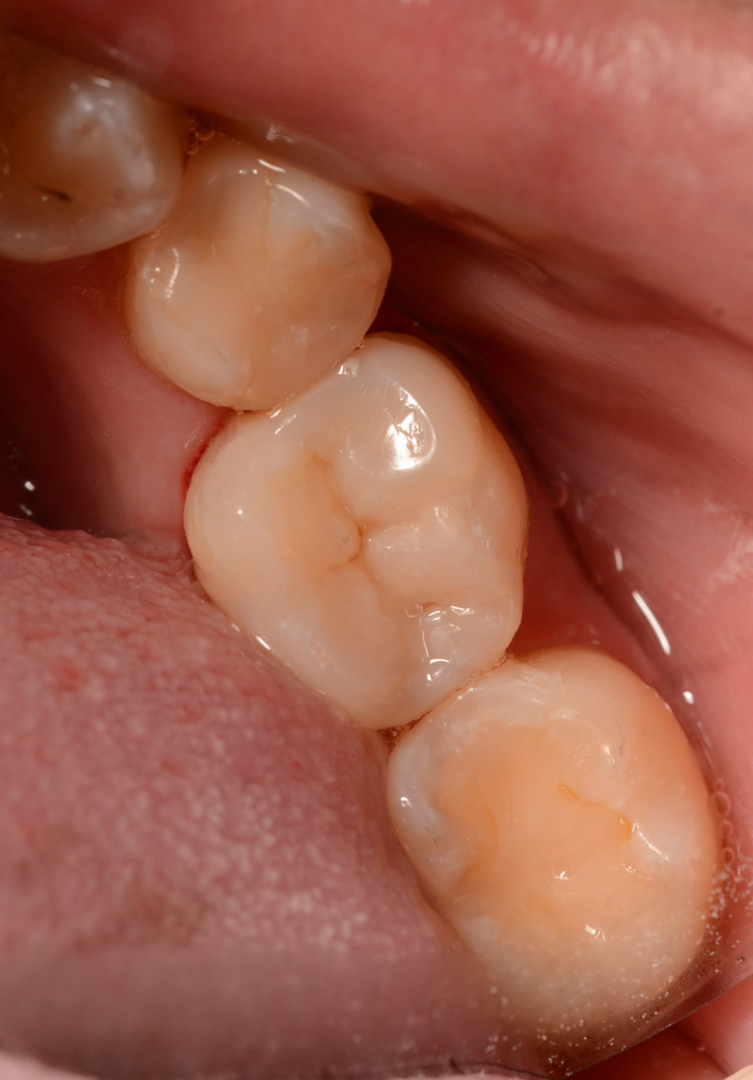
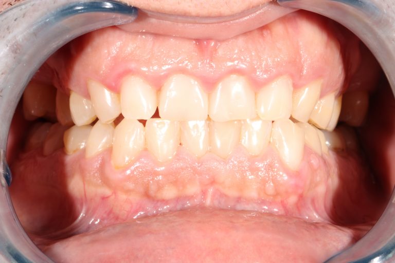
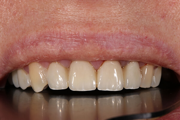
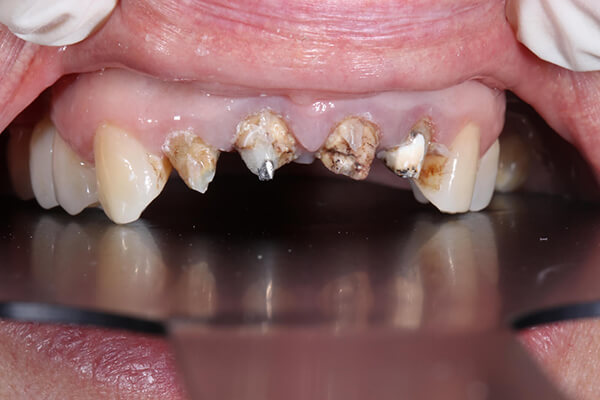
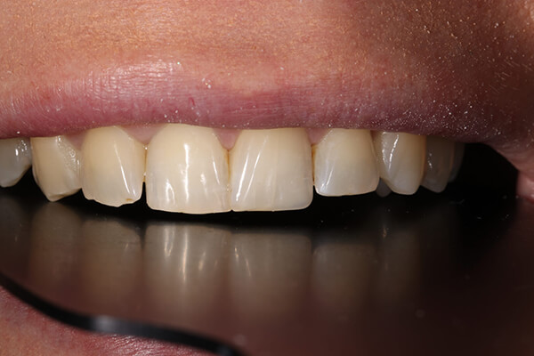
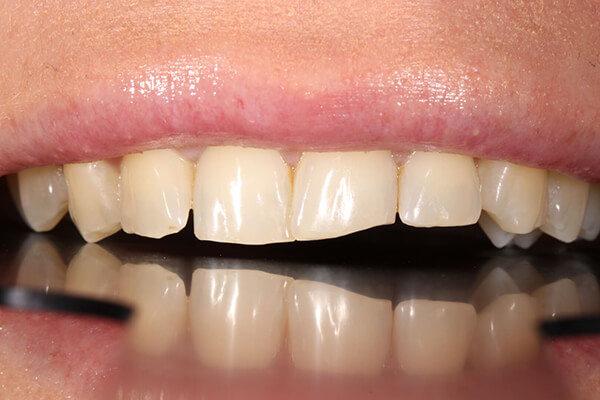
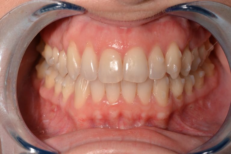
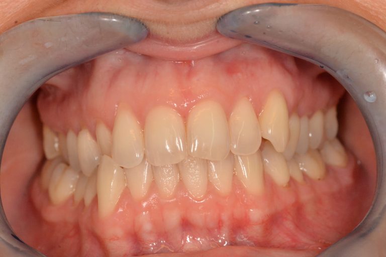
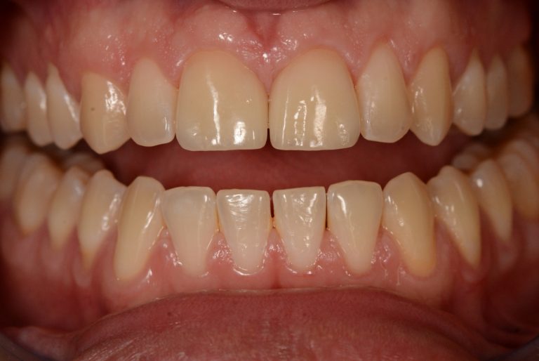
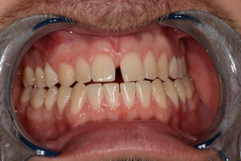
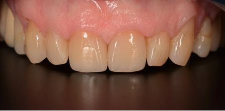
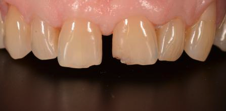
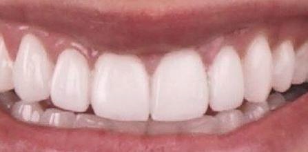
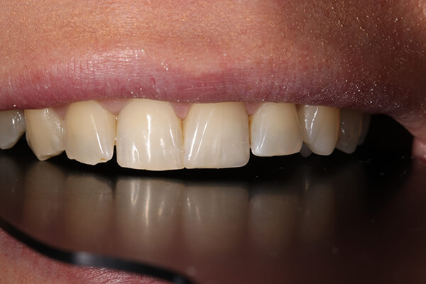
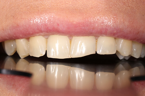
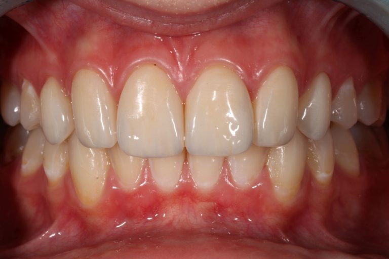
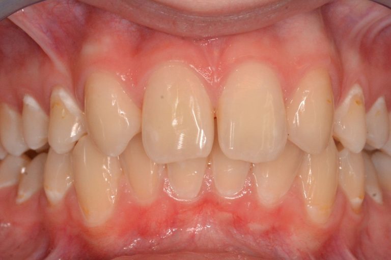
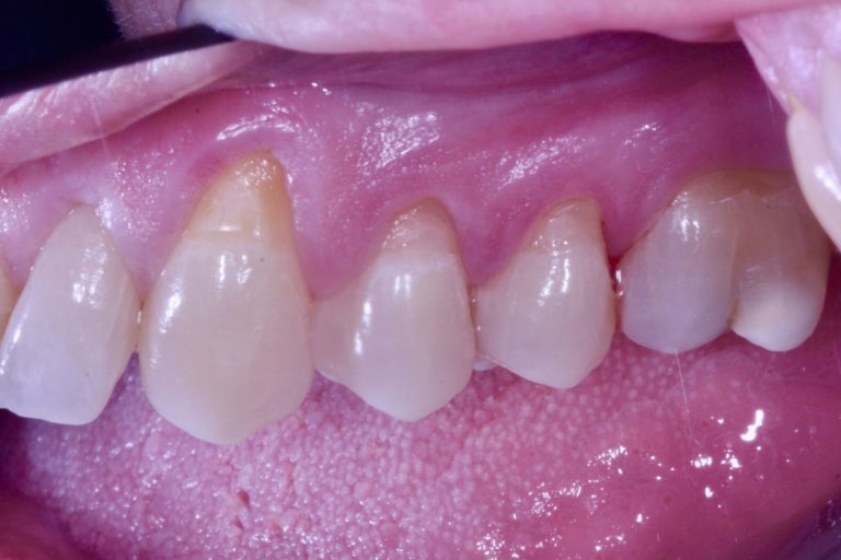
Munkáink


Fogfehérítés


Onlay


Mosolytervezés


Full mouth tömések


Front híd


Fogtömés


Élpótlás


Invisalign fogszabályozás


Hollywoodi mosolyrehabilitáció


Harmonikus mosoly részárással


Elülső fogak esztétikai korrekciója


Mosolyfehérítés és esztétikai javítás


Frontfogak esztétikai helyreállítása


Bonding


Tooth filling


Láthatatlan fogszabályozás hiányzó metszőfoggal


Lézeres ínyplasztika az egészséges mosolyért


Fogszabályozás
Csapatunk
Tapasztalt szakorvosok, összehangolt csapatmunka és folyamatos fejlődés
– mert a legjobb eredmény sosem a véletlen műve.
Ismerjen meg minket

VIP-környezet
Szállodai színvonalú berendezések,
modern eszközök – Belvárosi rendelőnk
6 tágas fogászati kezelővel rendelkezik

Holisztikus szemlélet
Nemcsak az elsőrangú eszközök és technológiák,
de a mindenre kiterjedő figyelem
és gondoskodás is fogászatunk védjegye.

Megelőző szemlélet
A bajt mindig könnyebb megelőzni,
mint kezelni. Hisszük, hogy a tudatosság
és az elővigyázatosság kifizetődő.
Küldetésünk
Elérhetőségek















