Munkáink
Tekintse meg korábbi munkáinkat, amelyek híven tükrözik a Naturadent által képviselt, kiemelkedő minőséget.
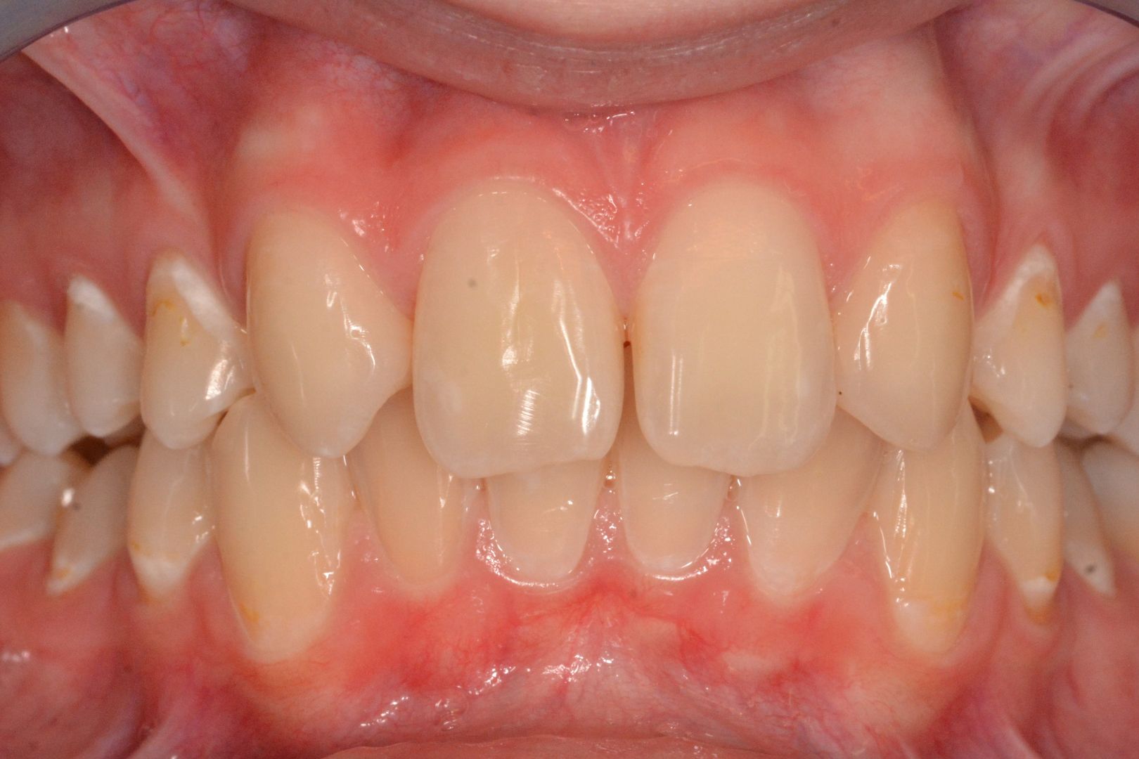
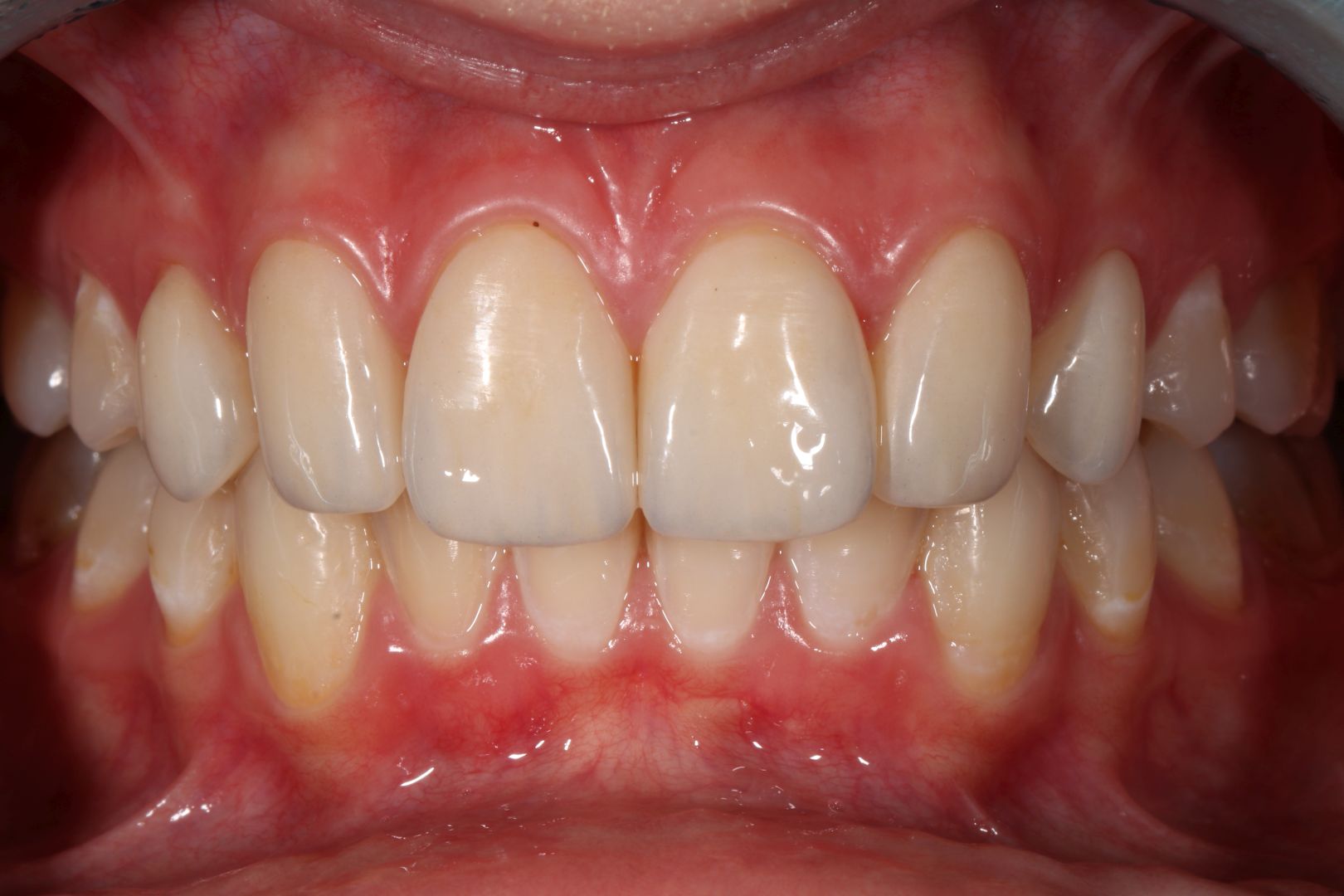
Hollywoodi mosolyrehabilitáció


Hollywoodi mosolyrehabilitáció
Esetleírás
Páciensünk korábban gyakran tömött, rossz állapotú, gyökérkezelt fogakkal érkezett. A cél az volt, hogy olyan vonzó mosolyt építsünk, amelyet még a legnagyobb hollywoodi sztárok is megirigyelhetnek. A kezelés után vendégünk fogai teljesen megújultak, többek között az úgynevezett mosolyemelésnek köszönhetően, amely során helyreállítottuk a fogak elvesztett magasságát, és egy egészséges, funkcionálisan is jól működő mosolyt alakítottunk ki.
Kezelés célja
A teljes fogrehabilitáció elérése a hollywoodi mosoly megalkotásához. Célunk az volt, hogy visszaállítsuk a fogak optimális funkcióját és egy esztétikai szempontból kiemelkedő megjelenést biztosítsunk vendégünk számára. A mosoly emelésével egyedülálló, harmonikus mosolyt kívántunk megalkotni, amely összhangban áll páciensünk karakterével.
Megoldás
A fogak helyreállítását kerámia héjakkal és kerámia borító koronákkal végeztük. A fájdalommentes rehabilitációs eljárás során teljesen megújultak páciensünk fogai, és egy vonzó, hollywoodi mosolyt alakítottunk ki. A mosoly emelésével lehetővé tettük a fogak elvesztett magasságának visszanyerését is, így nemcsak hófehéren csillogó, hanem egészséges és funkcionálisan is tökéletes fogazatot alkottunk meg elégedett vendégünk számára.
Kapcsolódó szolgáltatások
Ezt nyújtja egy kerámiahéj Önnek
A kerámia direkt héj nem tesz kárt fogában, mégis visszaadja annak szépségét. Az érintett fog ajak felőli felszínére tapasztalt fogorvosunk egy lenyomat alapján elkészített, leheletfinom, mégis rendkívül ellenálló, héjszerű kerámiaréteget ragaszt. Fogfelszínét lézerrel és egyéb, modern fogászati anyagokkal kondicionáljuk a tökéletes, időtálló eredmény érdekében.
Láthatatlan fogszabályozás hiányzó metszőfoggal


Láthatatlan fogszabályozás hiányzó metszőfoggal
Esetleírás
Páciensünk elégedetlen volt mosolyával, mivel születési rendellenességként a második metszőfogai nem törtek elő. Szeretett volna egy szép harmonikus mosolyt ami korrigálja ezt a születési rendellenességet.
Kezelés célja
A fogak érintkezését és a harapást optimalizálni szélesíteni a mosolyt invisalign fogszabályzóval illetve helyet teremteni esztétikus direkt héjaknak.
Megoldás
Az Invisalign fogszabályozó rendszerével lágy erőkkel de dinamikusan mozgatva a fogakat a kezelési cél megvalósulhatott, ebben nagy szerepe volt a páciens odaadásának mivel az első eredményeket már pár sín hordása után tapasztalhatta.
A kezelés befejeztével mosolytervezés során a páciens mosolyát még természetesebbé varázsoltuk a többi fogához harmonikusan illeszkedő direkt felépítésekkel, direkt héjakkal.
Kapcsolódó szolgáltatások
Hihetetlen eredmények, akár 2-4 hónap alatt
Az Invisalign a világ egyik legkényelmesebb láthatatlan fogszabályzója. A Naturadentnél mégsem csak ebből kifolyólag ajánljuk Önnek, hanem azért is, mert könnyű ki- és behelyezhetőségének köszönhetően nem korlátozza majd abban, hogy mit, mikor és hogyan ehet vagy ihat. Rendkívül hatékony megoldást nyújt akkor is, ha kisebb torlódásokkal küzd, és akkor is, ha nagymértékű elmozdulásokról van szó, továbbá 1-5 év garanciát biztosít, kezeléstípustól függően.
Az Invisalign Comprehensive kezelésünknek köszönhetően még a rendkívül nagy torlódásoknak vagy elmozdulásoknak is 3-5 hónappal gyorsabban inthet búcsút, mint ha hagyományos fogszabályozás mellett döntött volna. Az Invisalign pedig 5 év garanciát vállal, amennyiben a kívánt hatást nem érjük el a tervezett fogszabályozási folyamat végéig. Ez a gyakorlatban díjmentesen biztosított, új sínpárokat jelent.
Az Invisalign Lite kezelés mindössze 3-6 hónap alatt helyreállítja a fogazat esztétikáját, és segít megszüntetni kis fogtorlódásait, 2 év garancia mellett.
Az Invisalign Express pedig azoknak szól, akik szeretnék 2-4 hónap alatt helyreállítani a kisebb eltéréseket, apró esztétikai problémákat. Ennél a kezeléstípusnál 1 év garanciával számolhat.
A tökéletes, Önhöz illő fogsor alapja egy pontos terv
Az eszközök terén is a csúcsminőségben hiszünk: ezért 3Shape és iTero scannerekkel biztosítjuk, hogy archarmóniájához illeszkedő fogszabályozási tervhez jusson. A 3Shape innovációjának köszönhetően egy szemléletes animáción mutatjuk meg, hogyan valósul meg a láthatatlan fogszabályozás, amely segíti Önt céljai elérésében.
Tudjon meg többet az Invisalign-ról videónkból:
A mesterséges intelligenciával felvértezett iTero scannerünk korábbi esetekből kiindulva mutatja meg a lehetséges előtte/utána állapotokat annak függvényében, hogy Ön mely Invisalign-kezeléstípus mellett dönt.
Modern igényekre szabott előnyök, csak az Invisaligntól
Mérhetetlen magabiztosságot jelent, hogy a 3D-s lenyomaton alapuló egyedi virtuális modellnek köszönhetően Ön már a kezelés megkezdése előtt meggyőződhet arról, hogyan válik fogazata és mosolya napról napra egyre egészségesebbé.
Bár más fogszabályozók is kivehetők, de közel sem olyan egyszerűen és gyorsan, ahogyan az Invisalign fémmentes sínpárjai. Legyen szó étkezésről, fontos tárgyalásról, vagy a szájhigiénia fenntartásáról, az Invisalignt bármikor egy könnyed mozdulattal ki- és behelyezheti.
Gyermekek, tinédzserek és felnőttek számára is ideális megoldást nyújt a külső szem számára szinte észrevehetetlen, mégis kényelmes viseletet biztosító fogszabályozó, amely akár 3 hónap után látványos eredményt ér el (a páciens fogazatának állapotától függően).
Ideális fogsor 6 lépésben
Az Invisalign az éves szinten elkészült, számottevő láthatatlan fogszabályzó után Platinum II Provider címmel tüntette ki modern fogászatunkat. Ismerje meg a nálunk elérhető, funkcionális megközelítésű fogszabályozás lépéseit!
- Alaposan megvizsgáljuk, és 3D szkennerrel beolvassuk fogazatát. Panoráma, teleröntgen és 3D CBCT felvételeket, valamint fotókat készítünk a pontos tervezéshez. Fogszabályozó szakorvosunk megállapítja, hogy az Ön eltérésére alkalmazható-e ez a fogszabályzó típus.
- A kérdéses pontok megbeszélését követően megalkotjuk az Önre szabott Invisalign kezelési tervet. A konzultáció alkalmával elkészítjük a 3D animációt a várható végeredményről, a felvételt e-mailben elküldjük Önnek.
- Megismeri az úgynevezett ClinCheck tervet, amely pontosan bemutatja a mozgatás lépéseit. A digitális lenyomat alapján elkészült látványtervből kiderül, hogy pontosan milyen mozgatások szükségesek, tehát hány darab sín szükséges a kívánt eredmény eléréséhez, illetve milyen hosszú lesz a kezelés.
- Az Invisalign amerikai központjából megrendeljük a speciális anyagból egyedileg Önnek készített fogszabályzó sínrendszert. A digitális laborban egyszerre 5-6 sínt készítenek el.
- Ön átveszi első mélyhúzott, strapabíró, átlátszó fóliából készült fogszabályzóit. Napi 20-22 órás használat mellett átlagosan 2 hetente térhet át a következő sínpárra. (Önnek csupán 3 havonta szükséges ellátogatnia kontrollvizsgálatokra.) Az előző sínt is érdemes magánál tartania arra az esetre, ha bármi történne az aktuális sínnel – így a biológiai folyamat biztosan nem szakad meg.
- A kezelés végeztével az utolsó sín retenciós (állapotfenntartó) sínként is szolgálhat.
Fogazatát átfogóan vizsgáljuk: a fogszabályozás során a harapás, a beszéd, az artikuláció és az állkapocsízület helyzetét komplexen kezeljük. Amennyiben további fogászati kezelésekre lenne szükség, innovatív lézertechnológiát alkalmazunk, ami segít a fogíny és a fogak egészségének kíméletes visszaállításában.
Sok szeretettel várjuk belvárosi, kényelmes rendelőnkben.