Munkáink

Tekintse meg korábbi munkáinkat, amelyek híven tükrözik a Naturadent által képviselt, kiemelkedő minőséget.

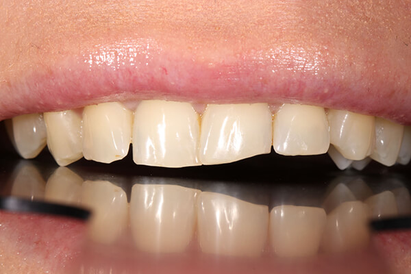
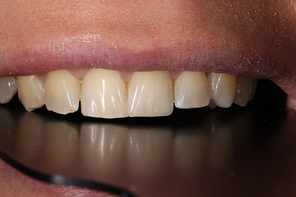
Ínyplasztika az egészséges mosoly visszanyeréséért - Vége az ínyrecesszónak!

before after

Lézeres ínyplasztika az egészséges mosolyért

Esetleírás
Páciensünknek nem csupán esztétikai, de egészségügyi panaszokat is okozott az
ínyvisszahúzódás, vagy más néven ínyrecesszió. Ez a fogászati probléma egy olyan elváltozás
a fogak körüli lágyrészekben, mely több befolyásoló tényező következtében alakul ki. Ilyen
tényező lehet például az agresszív fogmosás, bakteriális fertőzés, torlódott és túlterhelt fogak.


Kezelés célja
A kezelés célja a gyulladás megszüntetése, a sérült ínyrészek helyreállítása és az egészséges,
magabiztos mosoly visszanyerése volt.


Megoldás
A mikrosebészeti lágyplasztika egy olyan megoldás volt páciensünk számára, ami sikeresen
helyreállította a sérült ínyszéleket. Gyors gyógyulást és esztétikus formát biztosítottunk az íny számára. A kezelésnek
köszönhetően ezután már semmi sem állhatott a fájdalomtól mentes, egészséges mosoly
útjába.

Kapcsolódó szolgáltatások

Világszínvonalú eljárások a hosszú távú gyógyulásért

Parodontológiai kezelésre abban az esetben van szükség, ha a fogágy gyulladt, megbetegedett. Bár több fogászaton is foglalkoznak a fogat körülvevő szövetek baktériumok okozta gyulladásos megbetegedésével, Magyarországon kizárólag a Naturadent alkalmaz olyan innovatív eljárást a lézeres parodontológia területén, amelyet a világhírű, németországi RWTH Aachen Egyetem szakértői dolgoztak ki.

Elsőrangú lézeres kezeléseinkkel még azokat a fogágyban megtelepedő, agresszív baktériumokat is el lehet pusztítani, amelyekkel szemben a legerősebb antibiotikumok is hatástalanok. 

Parodontológiai kezeléseknél kulcsfontosságú, hogy a lehető leghamarabb megkezdődjön az Ön állapotára szabott gyógyító eljárás. Ez adott esetben lehet egy villámgyors lézeres tasakfertőtlenítés és fogkő-eltávolítás, de súlyos esetben a 2 fázisból álló, 1 éves intervallumot felölelő, innovatív kezeléssorozatunkra is szükség lehet a fogai megmentéséhez és a kompromisszummentes, hosszú távú gyógyuláshoz. 

A Naturadent Váci utcai rendelőjében többek közt nyitott kürettre, lebenyes tasakműtétre, recesszióműtétre, lebenyes, elcsúsztatásos műtétre, valamint a legmodernebb, tunnel technikával megvalósított ínyhosszabbításra és -vastagításra is lehetőséget biztosítunk, hogy Ön a fogai egészsége mellett ínyének szépségét is visszanyerhesse.

 

3 stádium, 3 megoldás, 3 jó hír – Vonatkozó kezeléseink közelebbről

30 perces, fájdalommentes állapotfelmérésünkön az elkészített panorámaröntgen, valamint az íny és a fogazat átfogó vizsgálata alapján meghatározzuk, hogy a lehetséges parodontológiai stádiumok közül melyik áll fenn az Ön esetében. Részletes kezelési tervet készítünk, amely a szükséges kezeléseken felül személyre szabott fogászati tanácsadást is tartalmaz, pontos árajánlattal.

  • A legkönnyebben és leggyorsabban kezelhető állapot a fogínygyulladás (1. stádium). Ebben az esetben specialistánk egy minden fogra kiterjedő lézeres tasakfertőtlenítéssel kezdi meg a kezelést. Miután elpusztult az íny és fog között található résben (tasakban) fellelhető kórokozók nagy része, egy alapos fogkő-eltávolításra is sor kerül. 

    Jó hír, hogy a megelőzésre is nagy hangsúlyt fektetünk: szakértőnk a kezelés után dentálhigiéniai tanácsadással járul hozzá ahhoz, hogy Ön a lehető leghatékonyabban ápolhassa fogait és ínyét.

  • A kezdődő fogágybetegségnél (2. stádium) már íny alatti fogkövek is irritálják az ínyt, illetve veszélyeztetik a környező csontok épségét. Tapasztalt fogorvosaink az ultramodern Biolase Waterlase iPlus készülékkel végzik el a mélytisztítást és a lézeres fertőtlenítést annak érdekében, hogy az ínybe hatoló baktériumok számát nullára csökkentsék.

    Jó hír, hogy a világ legfejlettebb lézerfogászati és lézeres sebészeti berendezése az YSGG-lézerhullámhossz és a hűtést biztosító víz-levegő spray együttes használatával hő, vibráció és nyomás nélkül képes kezelni az ínyt, a bőrt és a csontokat. Így a legtöbb esetben nincs szükség érzéstelenítőre, fájdalomcsillapítóra.

  • A régebben kialakult fogágybetegségnél (3. stádium) már olyan mértékű a baktérium okozta csontpusztulás, hogy fogai kilazulnak, és akár fájdalom vagy bármilyen előrejelzés nélkül kieshetnek. Kétfázisos lézeres kezelési sorozatunknál a legszigorúbb protokollokat követve szüntetjük meg a nagyobb méretű gyulladásokat, és állítjuk helyre fogazatának és ínyének optimális állapotát. Ez innovatív, lézeres mélytisztítási technikáinknak és különböző hullámhosszú lézereink csíramentesítő és baktériumölő hatásának is köszönhető. Az első fázis egy 8 alkalmas kezeléssorozatot takar, amely során mechanikailag eltávolítjuk az íny alatti fogköveket és gyulladásokat, továbbá lézerrel fertőtlenítjük a fogakat körülvevő íny teljes belső és külső felületét. A második fázis pedig egy 5 alkalmas, 1 éves intervallumot felölelő egyedülálló eljárás, amelyre a hosszú távú, kompromisszummentes gyógyulás érdekében van szükség, hiszen az ínyben lévő baktériumok száma 3-4 hónappal a kezelés első fázisa után fokozatosan növekedni kezd. Ezt pedig meg kell akadályoznunk. 

    Jó hír, hogy A Biolase Ezlase/Epic diódalézeres tasakfertőtlenítéseknek, a nagy teljesítményű Er,Cr:YSGG lézeres kürettálásoknak, továbbá egyedi, professzionális szájhigiénés kezeléseinknek köszönhetően olyan páciensek fogazatát és egészségét is sikerült megmentenünk, akik az előrehaladott fogágybetegség miatt kialakuló gyulladások következtében már szív- és érrendszeri panaszokkal küzdöttek. 

 

Hogyan zajlik a parodontológiai lézerkezelés?


A parodontológia egy folyamatosan fejlődő ágazat a fogászaton belül, ami a különféle fogágybetegségek kezelésére szolgál, és a komplexebb beavatkozásokra épül.A tudomány fejlődésének köszönhetően a parodontológia lézerrel történő megtámogatása jelenleg a legmodernebb módszer valamennyi fogágyi probléma gyógyítására.


A kezelés minden esetben egy alapos állapotfelméréssel indul, hiszen a páciens panaszai és fogazata alapvetően meghatározzák a továbbiakat.Az első alkalommal az általános konzultáció mellett elengedhetetlen például a tasakmérés, ami átfogó képet ad a fogak állapotáról, illetve a fogágybetegségek előrehaladottságáról.

Nélkülözhetetlen a fotódokumentáció is, hiszen amennyiben parodontológiai beavatkozásra van szükség, akkor ott súlyosabb állapotok állhatnak fenn, és komplex gyógyulási terv összeállítására, több lépcsőből álló beavatkozás sorozatra lehet szükség.

A parodontológiai lézerkezelések között ugyanis nemcsak tasakfertőtlenítést találhatunk. Ezzel a technológiával végezhető el például a kürettálás, a lézeres rezekció, de akár még a vesztibulumplasztika is. Lássuk ezeket a beavatkozásokat egy kicsit alaposabban:


Lézeres tasakfertőtlenítés


A lézeres tasakfertőtlenítésre parodontológiai lézerrel akkor van szükség, ha a foggyökér felszínén olyan sok baktérium halmozódott fel, hogy az már kisebb üregeket, úgynevezett tasakokat eredményezett.


Az elváltozás érinthet egyetlen fogat, de akár a teljes fogazaton megjelenhet. A lézertechnológiával – főként annak baktériumölő hatásával – ezek a tasakok fertőtleníthetők, ezáltal teljesen megszüntethetők és gyógyíthatók.


Lézeres kürettálás


A lézeres kürettálás során egyfajta lézeres mélytisztításra kerül sor, aminek részeként elpusztíthatók az íngyulladásért felelős baktériumok, a gyulladásban elhalt szövetek, sőt még az aktív gyulladásban lévő szövetek gyógyítása is kivitelezhető ezzel a módszerrel.

Nemcsak meglévő problémákat lehet kezelni vele, hanem prevenciós szerepe is van, hiszen megelőzhető a segítségével a súlyosabb fogágybetegségek kialakulása.


Lézeres rezekció


A lézeres rezekció az elülső őrlőfogaknál alkalmazott parodontológiai beavatkozás, amikor lézertechnológiával eltávolítható a gyökércsúcs és a gyökértömés is. Nagy előnye, hogy minimalizálható vele a fájdalom, a vérzés és a többi kapcsolódó kellemetlenség.


Lézeres vesztibulumplasztika


A lézeres vesztibulumplasztikára akkor van szükség, ha olyan súlyos fogászati elváltozás alakult ki, hogy az már az íny állapotára is negatív hatást gyakorolt. Parodontológiai lézerrel az így egészsége és feszessége egyaránt visszaállítható.

Milyen fogászati betegségek gyógyíthatók a parodontológiai lézerrel?


A parodontológia lézerrel történő kezelés rengeteg új utat nyitott a modern fogászatban, így ma már nagyon sok súlyos elváltozás gyógyítható ezzel a módszerrel. Lássuk a leggyakoribbakat:


Fogínygyulladás

Az egyik legáltalánosabb parodontológiai betegség, amit érdemes lézeresen kezeltetni abban az esetben, ha a fogíny napok-, esetleg hetek óta érzékeny, duzzadt, vöröses árnyalatú és gyakran vérzik is. A lézertechnológiával a jelenség akár már egyetlen kezeléssel gyógyítható!

Fogínysorvadás


Ha a fogínysorvadás kezelése elmarad és krónikussá válik, fogínysorvadás alakul ki, amitől az íny- és csontszövetek pusztulásnak indulhatnak, a fogak pedig meglazulhatnak, kieshetnek. A parodontológiai lézerrel akár még a súlyosabb állapotok is könnyedén gyógyíthatók.

Ínyvisszahúzódás

Az íny visszahúzódása jellemzően a fogágybetegségek kísérő tünete, de önmagában is jelentkezhet. Kialakulásakor a fogkoronák hosszabbnak tűnnek, ami rengeteg kellemetlenséggel, érzékenységgel, fájdalommal jár. Lézerkezeléssel viszont ez a probléma is orvosolható.

Hogyan segít a lézeres kezelés a parodontológiai betegségek megszüntetésében?


A fogászati célra kifejlesztett lézertechnológia lehetőséget ad arra, hogy a lézerfényt egy vékony szál segítségével a fogak mellett kialakult tasakok mélyére lehessen juttatni, azaz közvetlenül a baktériumokhoz, a problémás szövetekhez.


A lézer fertőtlenítő hatásával a baktériumok és a beteg szövetek elpusztulnak, a gyulladás ezzel megszűnik. A lézerfény segítségével a természetes regenerációs folyamatok beindulnak és az íny ismét feszessé válik, az el nem pusztult csontszövetek pedig újraépítik magukat.

Mikor alkalmazható a parodontológiai lézerkezelés?


Minden olyan esetben, ha a páciens kezdődő vagy súlyos fogágybetegségtől szenved. Tudni kell azonban, hogy a komplex parodontológiai kórképek többségénél csak kiegészítő kezelési forma, hiszen a legtöbbször például a fogkő eltávolítására is szükség lesz a teljes gyógyuláshoz.

A kezelés mellett szól továbbá, hogy gyakorlatilag minden esetben alkalmazható, így még terhes nőknél vagy cukorbetegség esetén sem okoz gondot, sőt utóbbi esetben a vérzéscsillapító hatás miatt is indokolt és ajánlott ez a technológia.


Mennyire fájdalmas a parodontológiai lézerkezelés?


A modern fogászat minden tekintetben a fájdalommentességre épül. A parodontológiai lézerkezelések így nem járnak fájdalommal, legfeljebb az érzéstelenítő hatásának csökkenése után tapasztalhatnak a páciensek kisebb kellemetlenségeket.


Mindemellett a parodontológia lézerrel való kezelés sokkal kisebb vérzéssel jár, mint a hagyományos módszerek, a sebek néhány nap alatt teljesen begyógyulnak, így a beavatkozás után már másnap munkába lehet állni szinte bármilyen munkakör esetén.


Mennyire biztonságos a parodontológia lézerkezelés?


A fogászati lézerberendezések mögött több évtizedes kutatási és fejlesztési háttér húzódik meg. A nyugati országokban már régóta alkalmaznak lézert a parodontológiai kezelésekhez, így a legmodernebb berendezések már teljesen ártalmatlanok, semmilyen negatív hatást nem gyakorolnak az emberi szervezetre.

 

Sok szeretettel várjuk belvárosi, kényelmes rendelőnkben.

Bővebben a szolgáltatásról
Ön is hasonló kihívással néz szembe?
Jöjjön el hozzánk állapotfelmérésre!
Időpontfoglalás

Élpótlás 2.0 – Minőségi tömőanyag, természeteses esztétikus hatás a harmonikus mosolyért

before after

Élpótlás

Esetleírás

A frontfogak egyike jelentős mértékben lekopott. Kiemelkedő minőségű tömőanyaggal helyreállítottuk a felső frontfogak szimmetriáját. A lekopott fogrész nemcsak esztétikai problémát okozott vendégünknek, de a harapás minőségét is negatívan befolyásolta. A gyors és fájdalommentes élpótlás során elhárítottuk a problémát: a felső frontfogak szimmetriája helyreállt, páciensünk magabiztosabb lett, harapása és mosolya kiegyensúlyozottságának köszönhetően.

 

Kezelés célja

A mosoly harmonizálása, a lekopott fogrész esztétikus pótlásának segítségével.

 

Megoldás

A fog kiegészítése a fog lecsiszolása nélkül, a természetes harmónia megőrzésével. A kulcs: az észrevehetetlen fogpótlás.

Innovatív eszközeinknek és világszínvonalú tömőanyagunknak köszönhetően a fogpótlást a fog lecsiszolása nélkül helyezte fel tapasztalt fogorvos kollégánk. Módszerünk lehetővé tette, hogy megőrizzük a természetes harmóniát páciensünk fogai között, és észrevehetetlen, hosszú távon is stabil és esztétikus pótlást biztosítsunk számára. Kényelem és egészséges mosoly mindenek felett.

Kapcsolódó szolgáltatások

A Naturadentnél kizárólag vendégeink archarmóniájához illő, kiegyensúlyozott állapotot és kényelmes, hosszú távú használatot garantáló, kiemelkedően kényelmes és innovatív fogpótlási lehetőségeket biztosítunk. 

Bővebben a szolgáltatásról
Ön is hasonló kihívással néz szembe?
Jöjjön el hozzánk állapotfelmérésre!
Időpontfoglalás

Először minden páciensünknél elvégzünk egy teljes állapotfelmérést és szájvizsgálatot, ami alapján egyéni kezelési tervet készítünk a várható költségekkel. (Konzultáció, állapotfelmérés kezelési tervvel: 15 000 Ft)

Időpontfoglalás