Munkáink
Tekintse meg korábbi munkáinkat, amelyek híven tükrözik a Naturadent által képviselt, kiemelkedő minőséget.
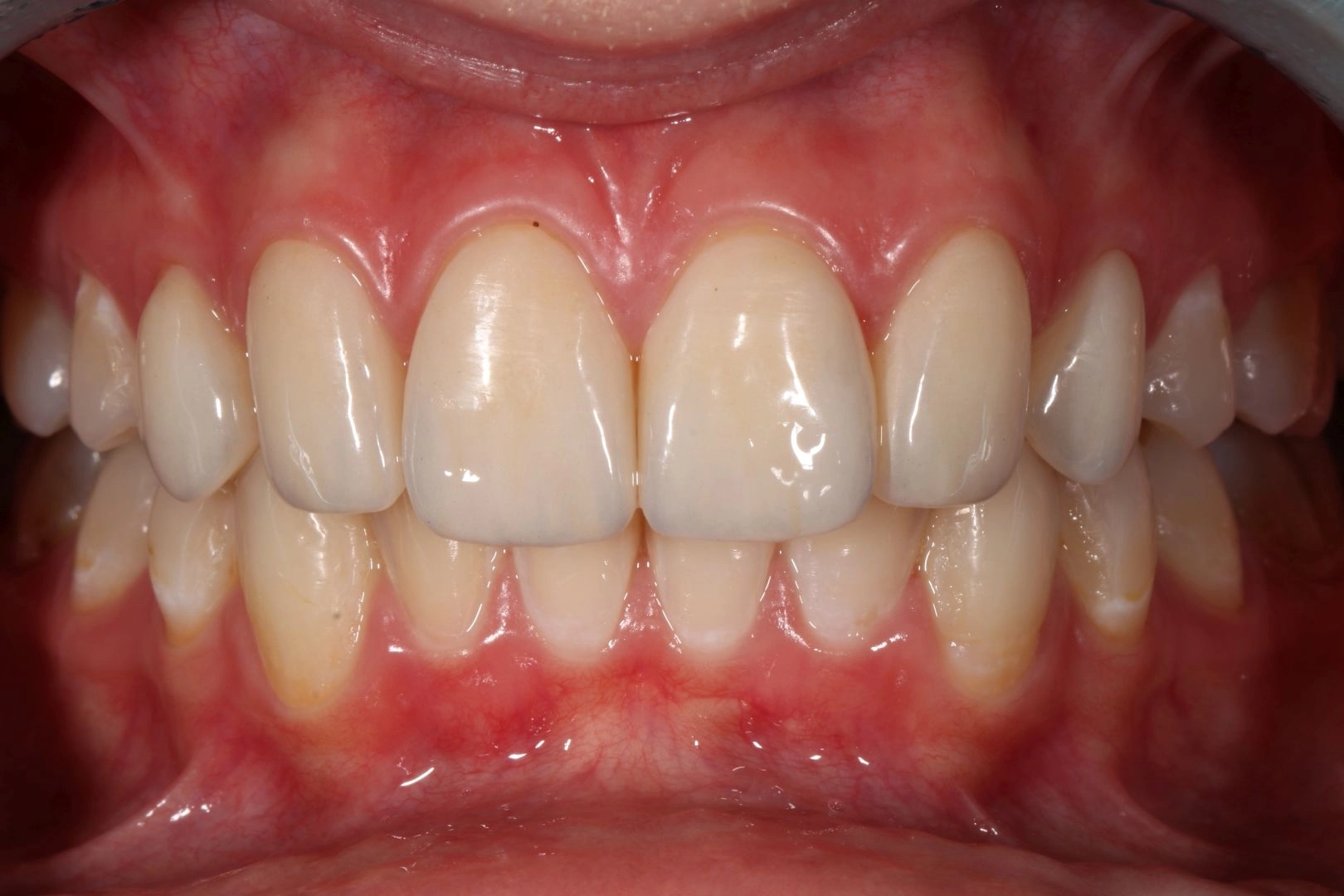
Láthatatlan fogszabályozás hiányzó metszőfoggal
 
  
 Láthatatlan fogszabályozás hiányzó metszőfoggal
Esetleírás
Páciensünk elégedetlen volt mosolyával, mivel születési rendellenességként a második metszőfogai nem törtek elő. Szeretett volna egy szép harmonikus mosolyt ami korrigálja ezt a születési rendellenességet.
Kezelés célja
A fogak érintkezését és a harapást optimalizálni szélesíteni a mosolyt invisalign fogszabályzóval illetve helyet teremteni esztétikus direkt héjaknak.
Megoldás
Az Invisalign fogszabályozó rendszerével lágy erőkkel de dinamikusan mozgatva a fogakat a kezelési cél megvalósulhatott, ebben nagy szerepe volt a páciens odaadásának mivel az első eredményeket már pár sín hordása után tapasztalhatta.
A kezelés befejeztével mosolytervezés során a páciens mosolyát még természetesebbé varázsoltuk a többi fogához harmonikusan illeszkedő direkt felépítésekkel, direkt héjakkal.
Kapcsolódó szolgáltatások
Hihetetlen eredmények, akár 2-4 hónap alatt
Az Invisalign a világ egyik legkényelmesebb láthatatlan fogszabályzója. A Naturadentnél mégsem csak ebből kifolyólag ajánljuk Önnek, hanem azért is, mert könnyű ki- és behelyezhetőségének köszönhetően nem korlátozza majd abban, hogy mit, mikor és hogyan ehet vagy ihat. Rendkívül hatékony megoldást nyújt akkor is, ha kisebb torlódásokkal küzd, és akkor is, ha nagymértékű elmozdulásokról van szó, továbbá 1-5 év garanciát biztosít, kezeléstípustól függően.
Az Invisalign Comprehensive kezelésünknek köszönhetően még a rendkívül nagy torlódásoknak vagy elmozdulásoknak is 3-5 hónappal gyorsabban inthet búcsút, mint ha hagyományos fogszabályozás mellett döntött volna. Az Invisalign pedig 5 év garanciát vállal, amennyiben a kívánt hatást nem érjük el a tervezett fogszabályozási folyamat végéig. Ez a gyakorlatban díjmentesen biztosított, új sínpárokat jelent.
Az Invisalign Lite kezelés mindössze 3-6 hónap alatt helyreállítja a fogazat esztétikáját, és segít megszüntetni kis fogtorlódásait, 2 év garancia mellett.
Az Invisalign Express pedig azoknak szól, akik szeretnék 2-4 hónap alatt helyreállítani a kisebb eltéréseket, apró esztétikai problémákat. Ennél a kezeléstípusnál 1 év garanciával számolhat.
A tökéletes, Önhöz illő fogsor alapja egy pontos terv
Az eszközök terén is a csúcsminőségben hiszünk: ezért 3Shape és iTero scannerekkel biztosítjuk, hogy archarmóniájához illeszkedő fogszabályozási tervhez jusson. A 3Shape innovációjának köszönhetően egy szemléletes animáción mutatjuk meg, hogyan valósul meg a láthatatlan fogszabályozás, amely segíti Önt céljai elérésében.
Tudjon meg többet az Invisalign-ról videónkból:
A mesterséges intelligenciával felvértezett iTero scannerünk korábbi esetekből kiindulva mutatja meg a lehetséges előtte/utána állapotokat annak függvényében, hogy Ön mely Invisalign-kezeléstípus mellett dönt.
Modern igényekre szabott előnyök, csak az Invisaligntól
Mérhetetlen magabiztosságot jelent, hogy a 3D-s lenyomaton alapuló egyedi virtuális modellnek köszönhetően Ön már a kezelés megkezdése előtt meggyőződhet arról, hogyan válik fogazata és mosolya napról napra egyre egészségesebbé.
Bár más fogszabályozók is kivehetők, de közel sem olyan egyszerűen és gyorsan, ahogyan az Invisalign fémmentes sínpárjai. Legyen szó étkezésről, fontos tárgyalásról, vagy a szájhigiénia fenntartásáról, az Invisalignt bármikor egy könnyed mozdulattal ki- és behelyezheti.
Gyermekek, tinédzserek és felnőttek számára is ideális megoldást nyújt a külső szem számára szinte észrevehetetlen, mégis kényelmes viseletet biztosító fogszabályozó, amely akár 3 hónap után látványos eredményt ér el (a páciens fogazatának állapotától függően).
Ideális fogsor 6 lépésben
Az Invisalign az éves szinten elkészült, számottevő láthatatlan fogszabályzó után Platinum II Provider címmel tüntette ki modern fogászatunkat. Ismerje meg a nálunk elérhető, funkcionális megközelítésű fogszabályozás lépéseit!
- Alaposan megvizsgáljuk, és 3D szkennerrel beolvassuk fogazatát. Panoráma, teleröntgen és 3D CBCT felvételeket, valamint fotókat készítünk a pontos tervezéshez. Fogszabályozó szakorvosunk megállapítja, hogy az Ön eltérésére alkalmazható-e ez a fogszabályzó típus.
- A kérdéses pontok megbeszélését követően megalkotjuk az Önre szabott Invisalign kezelési tervet. A konzultáció alkalmával elkészítjük a 3D animációt a várható végeredményről, a felvételt e-mailben elküldjük Önnek.
- Megismeri az úgynevezett ClinCheck tervet, amely pontosan bemutatja a mozgatás lépéseit. A digitális lenyomat alapján elkészült látványtervből kiderül, hogy pontosan milyen mozgatások szükségesek, tehát hány darab sín szükséges a kívánt eredmény eléréséhez, illetve milyen hosszú lesz a kezelés.
- Az Invisalign amerikai központjából megrendeljük a speciális anyagból egyedileg Önnek készített fogszabályzó sínrendszert. A digitális laborban egyszerre 5-6 sínt készítenek el.
- Ön átveszi első mélyhúzott, strapabíró, átlátszó fóliából készült fogszabályzóit. Napi 20-22 órás használat mellett átlagosan 2 hetente térhet át a következő sínpárra. (Önnek csupán 3 havonta szükséges ellátogatnia kontrollvizsgálatokra.) Az előző sínt is érdemes magánál tartania arra az esetre, ha bármi történne az aktuális sínnel – így a biológiai folyamat biztosan nem szakad meg.
- A kezelés végeztével az utolsó sín retenciós (állapotfenntartó) sínként is szolgálhat.
Fogazatát átfogóan vizsgáljuk: a fogszabályozás során a harapás, a beszéd, az artikuláció és az állkapocsízület helyzetét komplexen kezeljük. Amennyiben további fogászati kezelésekre lenne szükség, innovatív lézertechnológiát alkalmazunk, ami segít a fogíny és a fogak egészségének kíméletes visszaállításában.
Sok szeretettel várjuk belvárosi, kényelmes rendelőnkben.
Harmonikus mosoly részárással
Esetleírás
Páciensünk életét megnehezítette a frontfogak közötti rés. Az időigényes, hagyományos fogszabályozás helyett azonnali megoldásra vágyott. A cél a metszőfogak közötti zavaró hézag azonnali megszüntetése volt. Instant fogszabályozás keretein belül, a fogak előkészítése után, borító koronával zártuk le a rést.
Kezelés célja
A fő cél az volt, hogy villámgyorsan megszüntessük az esztétikai és funkcionális kihívásokat is okozó rést a frontfogak között, és egy harmonikus, esztétikus mosolyt alkossunk.
Megoldás
Az instant fogszabályozás során először a fogak előkészítése valósult meg. Minimális mennyiségű foganyag elvétele után esztétikus borító koronákat alkalmaztunk a részáráshoz. Ez a módszer azonnali harmonikus mosolyt hozott, amelynek köszönhetően páciensünk visszanyerte önbizalmát.
Kapcsolódó szolgáltatások
Minőségi anyagok + modern eljárás = stabilitás, természetesség, igényesség
Mindent megteszünk a szép és egészséges mosoly helyreállításáért. Innovatív eljárással készülő porcelán fogkoronáink a nagy nyomással való préselésnek, és az egyedülállóan magas minőségű alapanyagainknak köszönhetően válnak kompromisszummentes, szinte titán keménységű fogpótlássá. A préskerámia porcelán fényáteresztő képessége hasonló az emberi fogéhoz, mégis keményebb, mint a fogzománc.
A préskerámia fogkorona tartós, az előkészített fogra pontosan illeszkedik, segítségével a természetes fog színe tökéletesen visszaadható. Ezért (is) választják pácienseink a frontfogakat érintő kihívások esetén. Barátságos fogászatunknál az egész porcelán fogkorona anyaga kerámia (nem tartalmaz fémvázat), illetve a rögzítésre szánt kötőanyagok is a fogszínéhez hasonlóak (vagy átlátszóak): így a tökéletes esztétikum garantált.
Fémallergia? Kevés foganyag? Elszíneződött fogak? Nem akadály!
A préskerámia fogkorona egyik legnagyobb előnye, hogy nem vált ki fémallergiát. Antiallergén, biokompatibilis, tehát semmilyen káros hatást nem gyakorol az Ön szervezetére. A préskerámia koronával megvalósult fogpótlás nem csak fájdalommentes, de a fogbélkárosodás esélyét is minimálisra csökkenti.
Amennyiben esztétikus megoldásunk mellett dönt, a hagyományos koronák előkészítéséhez képest lényegesen kevesebb foganyagot kell eltávolítanunk a sikeres kezeléshez (0,7-1 mm). Kevésbé elszíneződött, gyökérkezelt fog esetén a porcelán fogkorona eltakarja az elszíneződést. Erősen elszíneződött fog esetén a fogkorona rögzítése előtt kifehérítjük fogait.
Alapos tervezés, évtizedekig tartó, tökéletes eredmény
Barátságos, belvárosi rendelőnkben a préskerámia korona előkészítése nagy alapossággal történik.
- Átfogó fogászati állapotfelmérést végzünk, amely többek közt tartalmazza a szájüreg, az íny és a fogazat teljes vizsgálatát, a meglévő elváltozások feltárását, valamint egy részletes, személyre szabott, írásos kezelési tervet, amelyet követve elérjük funkcionális és esztétikai fogászati céljait.
- Elvégezzük az esetleges harapási rendellenességek korrigálását fogai és a készülő fogpótlás védelme érdekében.
- A fogat érzéstelenítésben készítjük elő. Szükség esetén a szuvas részek eltávolítása után csonkfelépítést végzünk. Gyökérkezelt fogak esetén fogszínű csap beragasztására is szükség lehet, mellyel megerősítjük a fogszerkezetét.
- Precíz lenyomatot készítünk, hogy tapasztalt fogtechnikus partnerünk mielőbb elkészíthesse a végleges fogpótlást.
- Rendelőnkben vagy fogtechnikai laborban készített, ideiglenes koronával látjuk el az előkészített fogát.
- A préskerámia korona elkészítése után bepróbáljuk a természetes fogak színét tökéletesen visszaadó fogpótlást.
- A rögzítés előtt fogínyét lézerrel kezeljük, hogy baktérium- és nyálmentes, 100%-ig steril felületet kapjunk. Gyökérkezelt fog esetén lézeres üregfertőtlenítést végzünk: a koronához előkészített üregből eltávolítjuk a jelen lévő baktériumokat, ezzel minimalizáljuk az alászuvasodás esélyét.
- Amennyiben a megalkotott préskerámia fogkorona kényelmes, és elnyeri az Ön tetszését (esztétikai és funkcionális szempontból is ideális), fogorvos kollégánk véglegesen rögzíti azt.
A szakértő kollégánk által javasolt fogápolási tanácsok betartásával, a helyes harapási helyzet megteremtésével, illetve esztétikus préskerámia fogkoronájával akár hosszú, gondtalan évtizedeket „nyerhet” fogának.
Sok szeretettel várjuk belvárosi, kényelmes rendelőnkben.