Our work
View our previous work, which faithfully reflect what NaturaDent represents Outstanding quality.

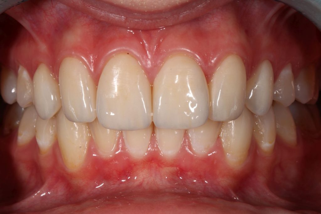
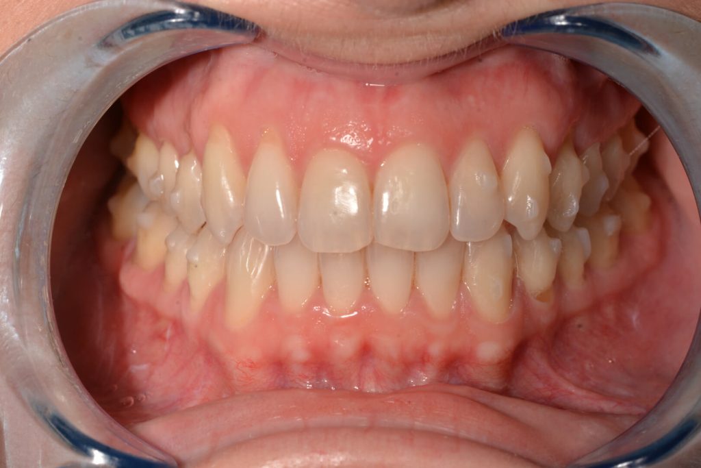
Hollywood smile rehabilitation


Hollywood smile rehabilitation
Case study
In the past, our patient often came in with crowded, poorly root canal treated teeth. The goal was to build an attractive smile that even the biggest Hollywood stars could envy. After the treatment, our client's teeth were completely renewed, thanks in part to a procedure called a smile lift, which restored the lost height of the teeth and created a healthy, functional smile.
Purpose of treatment
Achieve full tooth rehabilitation to create the Hollywood smile. Our goal was to restore optimal tooth function and provide an aesthetically outstanding appearance for our client. By elevating the smile, we wanted to create a unique, harmonious smile that was in keeping with our patient's character.
Solution
The teeth were restored with ceramic shells and ceramic crowns. The painless rehabilitation procedure completely renewed our patient's teeth and created an attractive, Hollywood smile. By raising the smile, we also allowed the lost height of the teeth to be regained, creating not only a snow-white gleaming smile, but also a healthy and functionally perfect set of teeth for our satisfied client.
Related services
Ceramic veneers
This is what a ceramic veneer offers you. A direct ceramic veneer doesn't damage your tooth, yet restores its beauty. The affected tooth…
Read moreInvisible orthodontics with a missing incisor


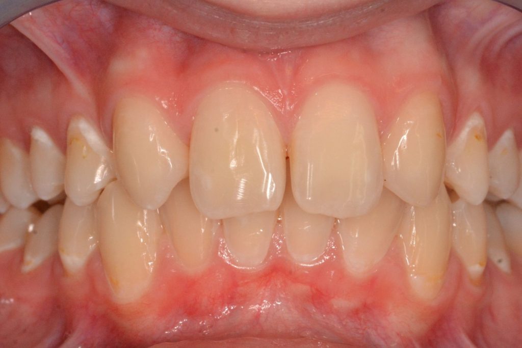
Invisible orthodontics with a missing incisor
Case study
Our patient was unhappy with her smile because, as a congenital anomaly, her second incisors did not erupt. She wanted a nice harmonious smile to correct this congenital anomaly.
Purpose of treatment
Optimize tooth contact and bite to widen the smile with Invisalign braces and create space for aesthetic direct veneers.
Solution
With the Invisalign braces system, by moving the teeth with gentle but dynamic forces, the treatment goal could be achieved, and the patient's dedication played a big role in this, as the first results were seen after just a few splints.
At the end of the treatment, smile design is used to make the patient's smile even more natural with direct build-ups and direct veneers that harmonise with the rest of the teeth.
Related services
Dental restorations, inlays, veneers, crowns with digital 3D impression and CAD-CAM method
At Naturadent, we exclusively offer outstandingly comfortable and innovative dental prosthetics that are tailored to our guests' facial harmony, guaranteeing a balanced state and comfortable, long-term use...
Read moreInvisalign orthodontics, the invisible assistant
Incredible results in up to 2-4 months Invisalign is one of the world's most comfortable invisible braces. But that's not the only reason why Naturadent...
Read moreCeramic veneers
This is what a ceramic veneer offers you. A direct ceramic veneer doesn't damage your tooth, yet restores its beauty. The affected tooth…
Read moreSmile design
To get the most out of your smile, we want you to have a smile as beautiful as you've ever dreamed of. Under the guidance of our professional team…
Read moreGingoplasty for a healthy smile - The end of gum recession!


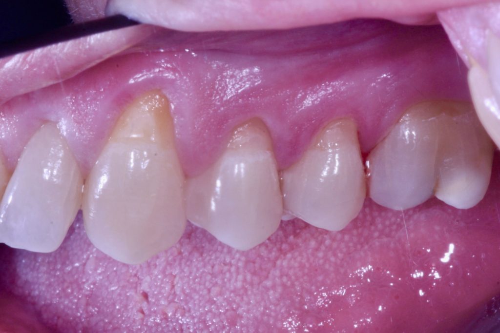
Laser gum surgery for a healthy smile
Case study
Our patient suffered not only aesthetic but also health problems from the
receding gums, also known as gum recession. This dental problem is a lesion
in the soft tissue around the teeth, which develops as a result of several factors. Such
Factors can include aggressive brushing, bacterial infection, crowded and overloaded teeth.
Purpose of treatment
The aim of the treatment is to eliminate inflammation, restore damaged gum tissue and restore healthy gums,
was to regain a confident smile.
Solution
Microsurgical soft tissue surgery was a solution for our patient that successfully
restored the damaged gum line. We provided fast healing and aesthetic shape to the gums. The treatment
nothing could stand in the way of a pain-free, healthy smile and a
in the way.
Related services
Laser-assisted treatment of gum recession
The end of gum recession, the beginning of a healthy smile. Sometimes teeth appear too long. In the vast majority of these cases, this is due to...
Read moreLaser gum contouring, gum reshaping, gummy smile correction, gum correction
After identifying the factors causing the condition, our experienced specialist will compile a treatment plan tailored to your needs. Thanks to our state-of-the-art Biolase laser equipment…
Read moreLaser periodontology
World-class procedures for long-term recovery Periodontal treatment is necessary if the supporting structures of the teeth are inflamed or diseased. Although there are several…
Read moreLiving Restoration 2.0 - Quality filling material, natural aesthetic effect for a harmonious smile


Live replacement
Case study
One of the front teeth is significantly worn down. We restored the symmetry of the upper front teeth with a high quality filler. The abraded part of the tooth not only caused an aesthetic problem for our guest, but also negatively affected the quality of the bite. During a quick and painless edge restoration, we eliminated the problem: the symmetry of the upper front teeth was restored and our patient became more confident, thanks to a more balanced bite and smile.
Purpose of treatment
Harmonising the smile by aesthetically replacing the worn part of the tooth.
Solution
To complete the tooth without grinding it, while preserving the natural harmony. The key: invisible restorations.
Thanks to our innovative tools and world-class filling material, the restoration was placed by an experienced dentist without grinding the tooth. Our method has allowed us to preserve the natural harmony between our patient's teeth and provide them with an imperceptible, long-lasting, stable and aesthetic restoration. Comfort and a healthy smile above all.
Related services
Dental restorations, inlays, veneers, crowns with digital 3D impression and CAD-CAM method
At Naturadent, we exclusively offer outstandingly comfortable and innovative dental prosthetics that are tailored to our guests' facial harmony, guaranteeing a balanced state and comfortable, long-term use...
Read moreAnterior bridge: aesthetic and functional restoration of anterior teeth


Front bridge
Case study
The upper front teeth were severely damaged, but a thorough, aesthetically and functionally successful solution was used to save and restore them.
Purpose of treatment
Because of the significant damage to the front teeth, it was necessary to restore the teeth to their aesthetic appearance and function. In addition to the aesthetically ideal replacement of teeth and restoration of the smile, the treatment also aimed to optimise chewing function and speech.
Solution
In addition to replacing teeth, rehabilitation of existing teeth was also needed. New root fillings, metal-free pins and fibreglass reinforcements were used to achieve the ideal condition. The treatment would not have been successful without the restoration of tooth shapes and proportions. In order to rehabilitate speech and a beautiful smile, the bridge, which is both aesthetically and functionally perfect, was made by one of the most experienced dental technicians in our country.
Related services
Dental restorations, inlays, veneers, crowns with digital 3D impression and CAD-CAM method
At Naturadent, we exclusively offer outstandingly comfortable and innovative dental prosthetics that are tailored to our guests' facial harmony, guaranteeing a balanced state and comfortable, long-term use...
Read moreFull mouth rehabilitation with perfect restorations


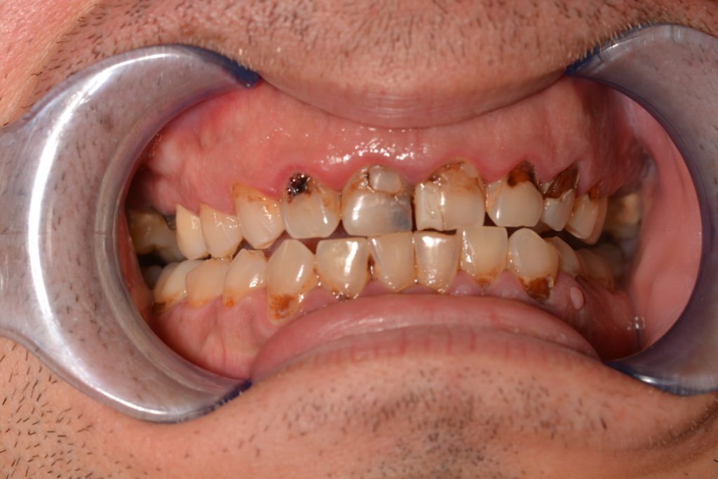
Full mouth fillings
Case study
Our patient came with severely damaged teeth with deep, extensive cavities. These caused significant aesthetic and functional problems. Our guest's request was for a full restoration to restore her healthy and stunning smile.
Purpose of treatment
Complete rehabilitation of the smile, restoring self-confidence so that our patient can enjoy life again with a perfect smile, happy and confident.
Solution
After complete removal of the cavities, a first-rate, natural-looking filling material was used to create a tooth restoration that ensures the natural beauty and function of the teeth. Precision laser preparation was used during the process to ensure a perfect fit and durability. With a complete rehabilitation, we rebuilt our patient's smile so that she can once again live her life with the confidence she deserves.
Related services
Restorative dentistry and aesthetic fillings
Quality Beyond the Main Furrows A pinnacle of aesthetic dentistry is tooth restoration, where Naturadent's specialists do not merely...
Read moreSmile Rehabilitation - Creating the perfect smile in absolute harmony


Smile design
Case study
In order to achieve a liberated and radiant smile for our patient, we needed to aesthetically restore two more root canal treated small molars.
Purpose of treatment
Aesthetic and functional rehabilitation of the front teeth to achieve the perfect smile. We wanted to achieve aesthetic harmonisation and functional restoration of the entire upper dental arch. In addition, the rehabilitation of the primary teeth was necessary.
Solution
The two small bristle teeth had previously undergone root canal treatment, and in order to strengthen and ensure their long-term optimal function and prevent potential tooth fracture, we had to fit them with cover crowns that provide protection and aesthetic appearance.
Related services
Crown
Quality materials + modern procedures = stability, naturalness, sophistication. We do everything to restore a beautiful and healthy smile. Made with innovative procedures…
Read moreFilling an upper molar tooth in a cofferdam - First-class tooth restoration with modern laser technology


Dental filling
Case study
Our patient's tooth was so cavitated next to an old white filling that the brown area was visible from the outside. Both in the picture and in real life.
Purpose of treatment
Removal of old, decayed fillings and saving the tooth. In addition, a new, high-functioning restoration is created that matches the colour, shape and functionality of the tooth.
Solution
The old filling was removed, followed by the cavity, using state-of-the-art laser technology. An enamel-like filling material was used to restore the anatomical structure of the ominous tooth. We even paid great attention to the detailing of the marginal grooves in the artfully crafted tooth filling, which was created using a unique layering technique with natural shades.
Related services
Restorative dentistry and aesthetic fillings
Quality Beyond the Main Furrows A pinnacle of aesthetic dentistry is tooth restoration, where Naturadent's specialists do not merely...
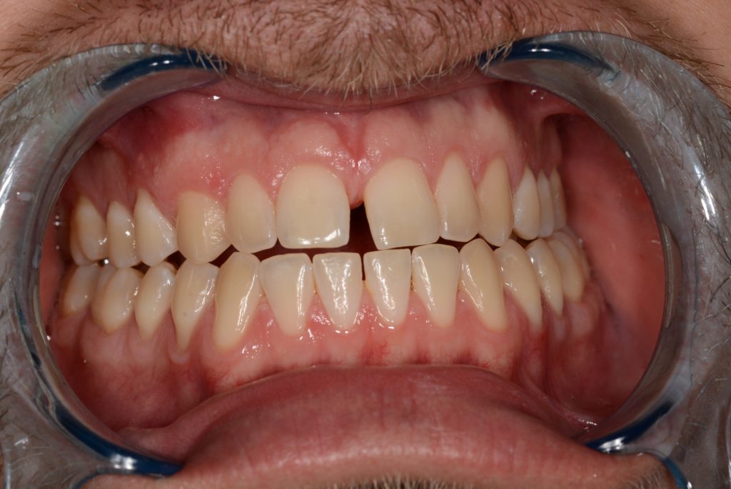
Read moreInvisalign orthodontics - Invisible solution to eliminate crossbite (too)


Invisalign orthodontics
Case study
Our patient was suffering from crossbite, which not only caused aesthetic problems, but also affected the functional contact of the teeth. Our goal was to restore the harmony and function of the teeth, while providing our client with an aesthetically attractive smile. We chose the world-renowned Invisalign orthodontic system, which allows for invisible orthodontics in the most comfortable way possible.
Purpose of treatment
In addition to eliminating crossbite and achieving an aesthetically flawless set of teeth, our main goal was to re-establish the correct functional tooth contact. With the patient's satisfaction and confidence in mind, we wanted to achieve a more harmonious and attractive smile.
Solution
With the Invisalign orthodontic system, our patient was able to say goodbye to crossbite about 3-5 months faster than if they had opted for traditional orthodontics. The modern system allowed invisible orthodontic treatment, which was particularly beneficial from an aesthetic point of view. The treatment corrected the crossbite and created a more harmonious smile. The source of our patient's delight was that the bite, speech, articulation and jaw joint position were assessed and treated in a complex way during the Invisalign orthodontic treatment.
Related services
Invisalign orthodontics, the invisible assistant
Incredible results in up to 2-4 months Invisalign is one of the world's most comfortable invisible braces. But that's not the only reason why Naturadent...
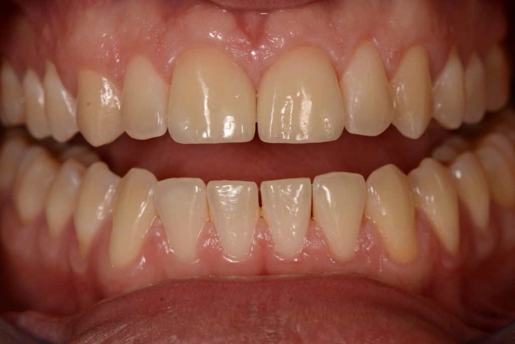
Read moreA harmonious smile with sharing


A harmonious smile with sharing
Case study
Our patient's life was made difficult by the gap between her front teeth. He wanted an immediate solution instead of time-consuming traditional orthodontics. The goal was to immediately eliminate the troublesome gap between the incisors. As part of instant orthodontics, we closed the gap with a veneer crown after preparing the teeth.
Purpose of treatment
The main goal was to eliminate the aesthetically and functionally challenging gap between the front teeth in a flash and create a harmonious, aesthetic smile.
Solution
The first step in instant orthodontics is to prepare the teeth. After a minimal amount of tooth material was removed, aesthetic veneer crowns were applied for partial dentures. This method resulted in an instant harmonious smile, which helped our patient regain her self-confidence.
Related services
Crown
Quality materials + modern procedures = stability, naturalness, sophistication. We do everything to restore a beautiful and healthy smile. Made with innovative procedures…
Read moreDirect shell - Aesthetic solution for periodontally compromised teeth
Case study
Although our patient came in with periodontally compromised teeth, he wanted to avoid bone and gum restorations and veneers with grinding. The only solution was a direct shell, which can „rebuild” previously lost bone and gum regions with an aesthetic filling material.
Purpose of treatment
The main goal was to find an aesthetic solution for periodontally compromised teeth. All without grinding the teeth or other time-consuming procedures. With direct veneers, we aim to achieve the aesthetic result the patient desires by replacing previously lost bone and gum regions, hiding black triangles and gum recession.
Solution
Direct veneers are used to build up teeth with aesthetic, natural-looking fillings to cover previously lost bone and gum regions. This procedure made it possible to eliminate black triangles and correct receding gums without the need for other interventions.
Related services
Dental restorations, inlays, veneers, crowns with digital 3D impression and CAD-CAM method
At Naturadent, we exclusively offer outstandingly comfortable and innovative dental prosthetics that are tailored to our guests' facial harmony, guaranteeing a balanced state and comfortable, long-term use...
Read moreCeramic veneers
This is what a ceramic veneer offers you. A direct ceramic veneer doesn't damage your tooth, yet restores its beauty. The affected tooth…
Read moreOur mission
Our mission is to:
- natural methodskeep you and your teeth healthy
- natural ingredients using
- excellent, quality services provided by
- with kind care meeting your needs.
Everything is about the health of your teeth, the beauty of your smile and the vitality of your body. You can think of the entire Naturadent team as your own highly trained dentists, specialists and dental hygienists. You can come to us with any dental problem, and we will give you a solution tailored to your individual needs and your dentition to the best of our ability.


4.7
Let your success story begin at NaturaDent!
NaturaDent guarantee
At Naturadent, quality is not a promise, it's a written guarantee: we work with superior materials, cutting-edge technology and highly trained specialists to ensure your smile is in safe hands for the long term. Our dental guarantee means that we not only make it, but we take responsibility for the end result.
Your smile is too valuable to risk - that's why at NaturaDent we not only treat you, but we also offer a written guarantee on all our quality work. We provide solutions that we stand behind today, tomorrow and years from now.


4.7
Partners and brands we work with







Partners and brands, who we work with













