
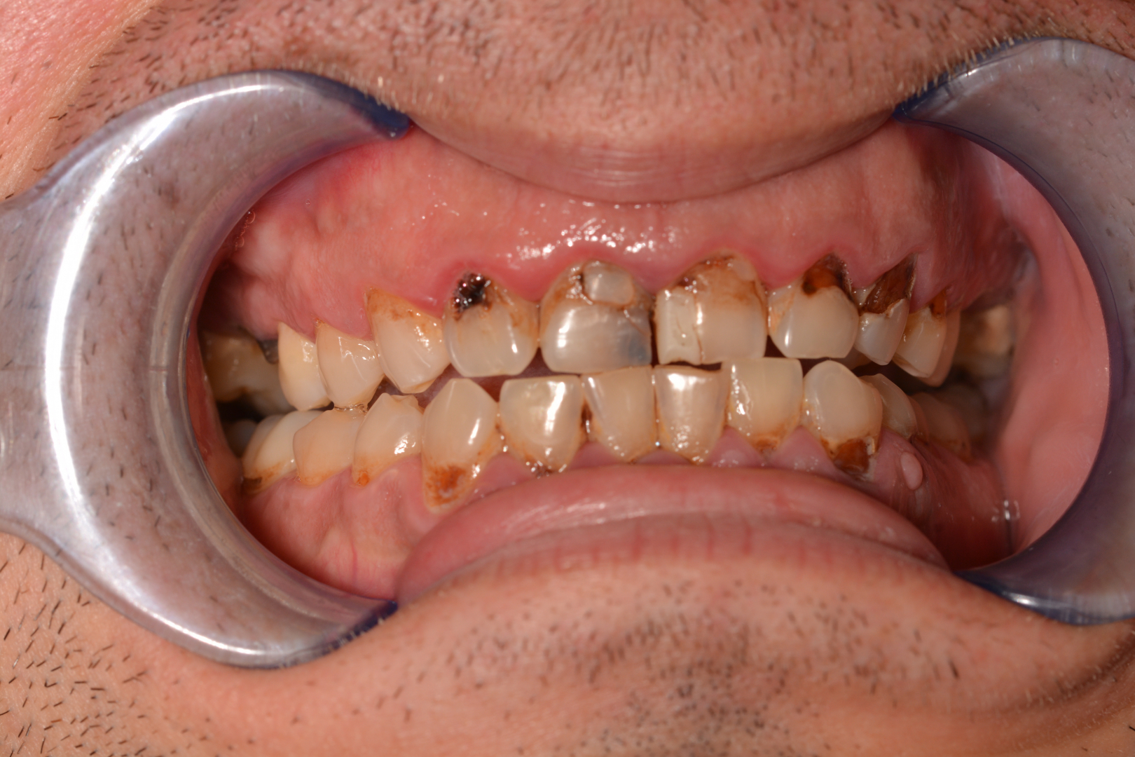
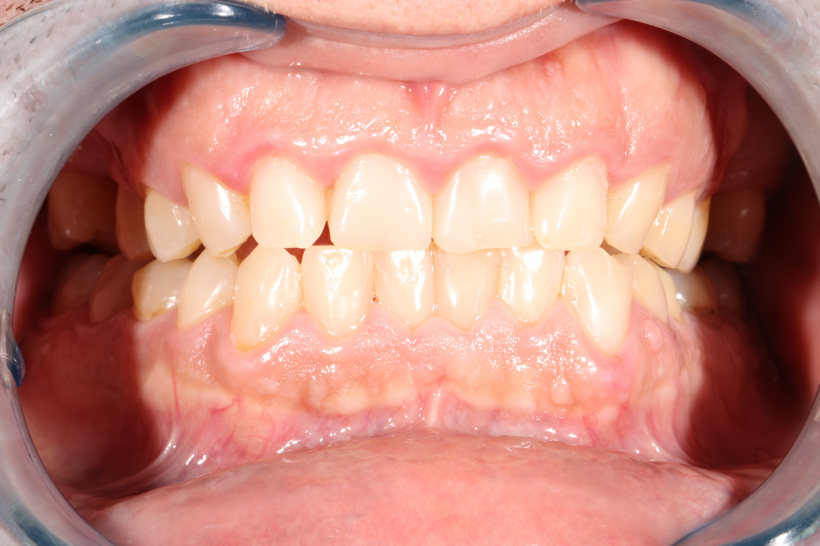
Iplus lézeres nyaki tömés
Biolase Waterlase iPlus keményszöveti lézeres felület-előkészítés és nyaki tömés
Az iPlus lézeres nyaki tömés során a lézer precíz és fájdalommentes felületkezelést biztosít, és segít a fog eredeti állapotának visszaállításában. A kezelés időtartama rövid, és a fognyaki érzékenységet is hatékonyan csökkenti. Az iPlus lézeres nyaki tömés egy innovatív megoldás, amely a hagyományos tömésekhez képest korszerűbb és hatékonyabb eredményt biztosít.
Betekintés korábbi munkáinkba


Full mouth tömések


Fogtömés
Árazás
Fontos információk
Iplus lézeres nyaki tömés
Iplus lézeres nyaki tömés
37 000 Ft
Kezeléseinkre minőségi, szakmai és időgaranciát vállalunk. A végül elvégzett kezelések konkrét díjtételei az Ön számára összeállított egyedi kezelési tervben, illetve a kezelések befejezésekor kerülnek rögzítésre. Számláját magyar forintban és euróban is kiegyenlítheti.
Kapcsolódó cikkeink

#Fogfájás
Ön fogfájással küzd? Segítünk feltárni a fogfájás pontos okát és kezelési módszereit.

#Esztétikai fogászat
Direkt héj
Direkt héj a tökéletes mosolyért, akár azonnal? Kipróbálhatja saját fogain, csiszolás és minden kötelezettség nélkül!

#Esztétikai fogászat
Mit csináljak, ha letört a fogam?
Milyen helyzetekben, miért törik le egy fog és ezt hogyan kezeljük a NaturaDent Lézerfogászatán? Cikkünkből minden kiderül.

#Fogtömés
Fogtömés utáni érzékenység: ezek az okok
A fogtömés régen fájdalmas és rendkívül kellemetlen fogászati eljárásnak számított.

#Esztétikus tömések
#Esztétikai fogászat
Fognyaki tömés: mire nyújt megoldást?
A fájdalmas fognyaki érzékenység, ínyvérzés és ínygyulladás oka lehet az ínyvisszahúzódás is. Ismerje meg a megoldási lehetőségeket!